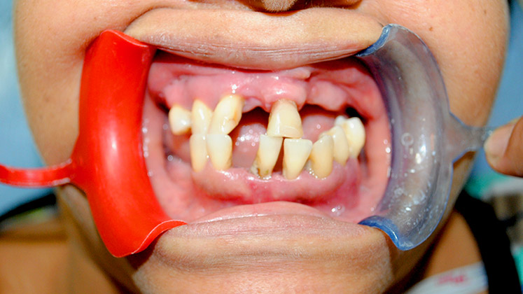
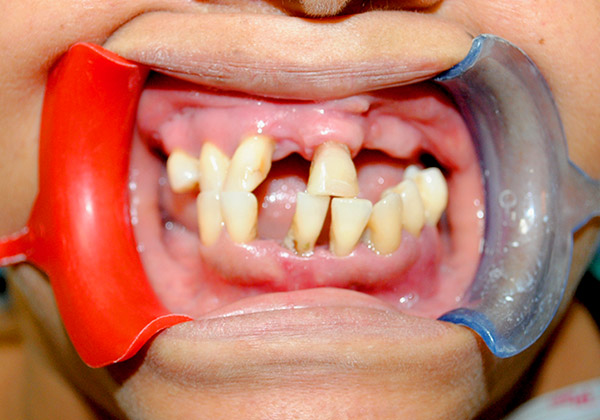
Nombre del caso


Introducción al caso





Contactanos

Envianos un mensaje

© 2017 Laserdent - Clínica Odontológica. Todos los derechos reservados | Diseñado por Diseño Web Ideas y W3layouts